Winchester Orthodontic Practice in Hampshire provides exceptional private orthodontic care and professional teeth whitening, using the latest equipment and techniques, all within a calm, welcoming environment.
Our goal is to deliver an outstanding experience for every patient. Treatment is led by a specialist orthodontist and supported by a handpicked team of qualified, compassionate staff.
We’re committed to clinical excellence, with all team members regularly undertaking postgraduate training to stay at the forefront of modern orthodontics.
Book free consultation
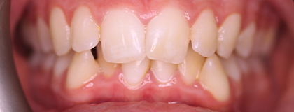
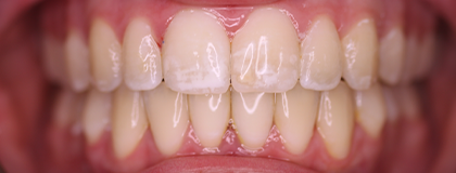
At Winchester Orthodontic Practice, we do more than straighten teeth, we transform smiles and boost confidence through expert-led orthodontic care. Whether you’re new to treatment or exploring options for your child, our specialist team is here to guide you with clarity, compassion, and precision.
Take a moment to explore who we are, see the smiles we’ve helped shape, and learn about our transparent pricing and flexible payment options.


Fill in your details below to arrange a no-obligation consultation.
My son has had a fantastic experience with Winchester orthodontist. The staff are always friendly, helpful, communicative. Clear line of chat and always willing to help and adjust apts around his scho… Read More
I started Spark aligners at Winchester Orthodontic Practice about 10 weeks ago and I’ve already seen a big improvement. Shelby has been brilliant and the rest of the team have been fantastic, friend… Read More
It took me a long time to find an orthodontist who actually listened to my aims and agreed to work with me to help me achieve the teeth and smile I was trying to find. My experiencees in 4 years of s… Read More
Very friendly, knowledgeable and efficient!! We have used Winchester Orthodontic Practice for mine, my husband and all my children's teeth. 100% recommend
I was really unsure that I could even do anything at my age about my teeth and was worried no one would listen to me. I found Winchester orthopaedic practice and from the moment I went into my first m… Read More
Winchester Orthodontic Practice is a trading style of Winchester Smiles Limited who are authorised and regulated by the Financial Conduct Authority (FCA No 987490). Finance is subject to availability, status and income, applicants must be 18 or over. Terms and Conditions apply. Registered office: Chester House, Lloyd Drive, Ellesmere Port, England, CH65 9HQ.
All finance is subject to availability, status and income.